Search
Login
Search
Subspecialities
Andrology
Basic Science Research
Core Urology
Endourology & Stones
Functional / Reconstructive Urology
Infection
Neurourology
Paediatric Urology
Technology
Trauma & Emergency
Urologic Oncology
Uroradiology
Contributors
Articles
News
Events
Product Guide
Login
Search
Urologic Oncology
Filter by year
2025
2024
2023
2022
2021
2020
2019
2018
2017
2016
2015
2014
Sort by
Newest First
Oldest First
Title: A to Z
Title: Z to A
Covid-19, cancer, and other calamities
Post-prostatectomy incontinence
OCERT: a new multi-specialty project to standardise robotic surgical training
COVID-19 cuts prostate cancer referrals in half
Focal therapy trials
Establishing a new TPPBx service during the COVID-19 pandemic
Penile cancer: a practical approach
PROFILE study seeks to find out why black men develop prostate cancer at twice the rate of other men
Update on immunotherapy for non-muscle invasive transitional cell carcinoma of the bladder
Visual-estimation (cognitive), image-fusion (software) and in-bore targeted prostate biopsy: is there an optimal approach?
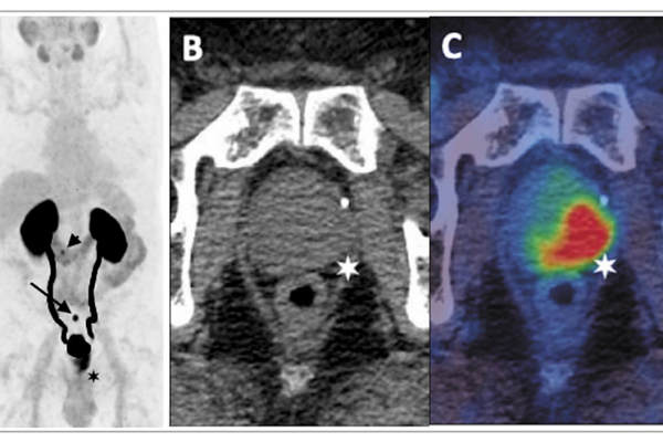
The role of PET-CT imaging in prostate cancer
Trials offering cytoreductive surgery for men with de novo synchronous metastatic prostate cancer
Prev
1
2
3
4
5
6
Next