Case 1

- What does this plain X-ray of kidneys, ureters and bladder (KUB) show?
- What, according to the 2009 The National Institute for Health and Care Excellence (NICE) guidelines, is the most appropriate first-line treatment?
- What factors do the NICE guidelines suggest should guide the patient towards alternate treatments?
Case 2
- What are the three types of lithotripter in use currently for shock wave lithotripsy (SWL), and which is illustrated by the schematic in the image?
- What are the four fundamental requirements of an SWL set-up to successfully treat stones?
- What treatment principles are used for safest delivery of SWL?
- What are the contraindications to SWL?
- What does this axial CT scan image show? What complications can occur after SWL?
Case 3
- What do the X-ray KUB and the CT scan images show?
- What is the most appropriate first-line treatment according to NICE and European Association of Urology (EAU) guidelines?
- What acronym can be used to help decide which stone to treat first? What test(s) would help make your decision?
- What do these images show, and which kidney should you treat first?
Spot Test: answers
Case 1
-
There is a left upper ureteric stone measuring approximately 8mm in maximal diameter. There is also a smaller left renal stone (around 4mm over the 12th rib).
-
The patient should be offered shock wave lithotripsy in the first instance
-
You should consider ureteroscopy if the patient is:
a. Unable to complete treatment within four weeks with SWL;
b. Has a stone not targetable for SWL (unlikely in this case);
c. Has contraindications to SWL or;
d. Has previously failed SWL for the treatment of stones.
Case 2
-
Electrohydraulic, electromagnetic and piezoelectric. The image shows a schematic representation of an electromagnetic lithotripter.
-
Energy source, focusing, coupling and targeting.
-
Safe SWL practice includes the use of power ramping (gradually increasing energy), maximum power limits, early treatment break (allows induction of protective vasoconstriction) and treatment at lower rates (1/1.5/2Hz max). For patients with pacemakers or known arrythmias, it is also possible to ‘gate’ the shock waves to the ECG.
-
Absolute contraindications include: acute sepsis, distal obstruction, uncorrected coagulopathy, pregnancy, adjacent arterial aneurysm. Relative contraindications include: previous failed SWL, lucent stones, musculoskeletal disease compromising patient positioning.
-
The image shows a large right perinephric haematoma in a patient who ultimately required angioembolisation. Other complications include pain, ureteric colic, obstruction, steinstrasse, haematuria, urinary tract infection / sepsis, renal injury, bruising, failure, need for repeat treatment, stone recurrences and intolerance of treatment or failed targeting leading to incomplete treatment.
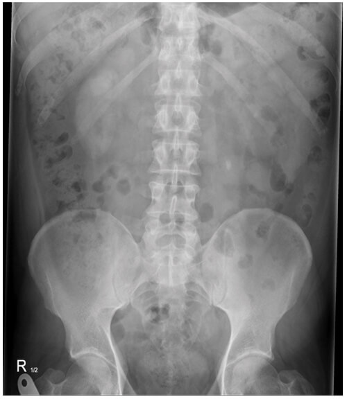
Case 3
-
Bilateral large / staghorn renal calculi.
-
Percutaneous nephrolithotomy (PCNL). Both stones are probably too large for miniaturised PCNL.
-
BOSE - the stones in the Best functioning kidney should be treated first. If function is equal, treat the Obstructed kidney, if neither obstructed treat the Symptomatic side, and if all else is equal treat the Easiest side first! A Technetium-99m (Tc99) labelled dimercaptosuccinic acid (DMSA) renal scan should be done to define differential renal function. A mercapto-acetyl-tri-glycine (MAG3) scan is an alternative but less reliable in this context. Assessment of overall renal function with eGFR/U+E would also be recommended, as well as a mid-stream urine sample.
-
This is a DMSA scan showing a significantly reduced contribution from the left kidney (8% compared to 92% on the right). The right kidney should be treated first.
