- Click here for Part 2 -
A 58-year-old male is referred to your rapid access prostate clinic with a prostate specific antigen (PSA) of 6.0ng/ml. He has no lower urinary tract symptoms (LUTS), past medical history (PMH), or family history of prostate cancer. His MRI scan images are shown in Figures 1-4 (images used with patient’s consent).

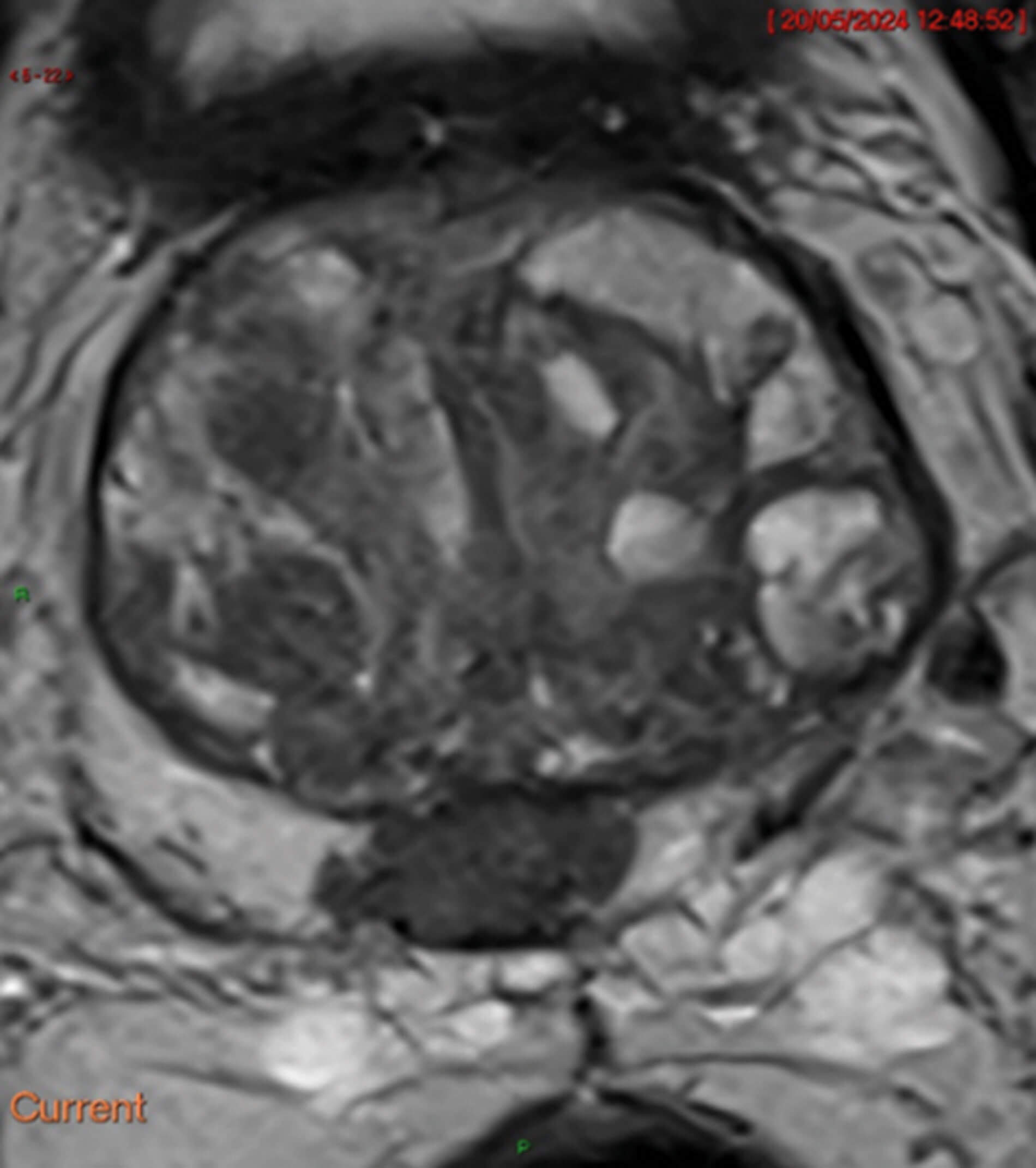
Figure 1.

Figure 2.

Figure 3.

Figure 4.
- What evidence is there for and against PSA screening?
- Figure 1 is a T2 weighted MRI image. What does it show?
- Figure 1 is reported as a PIRADS 4 lesion. What is the PIRADS scoring system and what is the likelihood of clinically significant cancer for each score?
- Figures 2-4 are the different MRI sequences. What sequences are they and what do they represent?
- What is the guidance around multi-parametric vs. bi-parametric MRI for prostate cancer?
Answers
1. PSA is not currently used for screening in the UK due to lead time bias (detecting slow-growing tumours early that would have had good prognosis regardless) and the low sensitivity and specificity of PSA. Key trials that have examined PSA screening are:
- The Prostate, Lung, Colorectal and Ovarian (PLCO) Cancer Screening Trial is a randomised controlled trial (RCT) which showed no mortality benefit from annual PSA screening over six years compared to opportunistic screening after 15 years of follow-up [1].
- The European Randomised study of Screening for Prostate Cancer (ERSPC) found that screening every two to three years reduced prostate cancer deaths over 10 years, but significant mortality reduction was reported from only two of the participating European countries [2].
- The UK-based Cluster randomised trial of PSA testing for Prostate cancer (CAP) trial which compared a one-off PSA test to standard care, showed marginal mortality improvement but was associated with overdiagnosis and overtreatment [3].
- These studies did not incorporate pre-biopsy MRI or targeted biopsies.
2. On this T2 weighted image, there is a 2cm mid-gland lesion at 6 o’clock in the peripheral zone. It is stage T2aN0Mx. On T2 weighted images, prostate cancer usually appears dark. In the transition zone, T2W imaging takes precedent when interpreting the images for cancer.
3. PIRADS stands for Prostate Imaging Reporting And Data System and is a standardised system that scores lesions on MRI out of five, based on the radiological probability of being a clinically significant prostate cancer.

The Prostate MRI Imaging Study (PROMIS) is a multi-centre paired cohort study which matched MRI findings to histology results, enabling us to predict the percentage likelihood of detecting clinically significant prostate cancer. The PROMIS trial used Likert scoring but the performance of both scoring systems is similar [4].
4. Diffusion weighted imaging (DWI, Figure 2) measures how easily water diffuses across cells, with restricted diffusion indicating increased cell density and tumour matrix.
The b-value (s/mm2) is a measure of the different gradients of diffusion weighting applied and by applying different pulses and calculating diffusion gradients aids in tumour detection. Different b-values are required to calculate the apparent diffusion coefficient (ADC, Figure 3), and higher b-values increase sensitivity to restricted diffusion, aiding in tumour detection. ADC is calculated by a specific formula.
Cancer typically appears bright on DWI (Figure 2) and darker on ADC (Figure 3) and radiologists compare sequences to check if they correlate.
Dynamic contrast enhancement (DCE, Figure 4) completes the multi-parametric MRI (mp-MRI) sequence. Without DCE, it is termed bi-parametric MRI (bp-MRI). DCE assesses tissue enhancement after Gadolinium contrast administration, exploiting tumour neoangiogenesis and abnormal vessel leakage which cause contrast stasis in tumour regions and appear as enhancement.
5. The National Institute for Health & Care Excellence (NICE) and European Association of Urology (EAU) recommend offering mp-MRI as the first-line investigation for suspected localised prostate cancer in those suitable for radical treatment. The PROMIS trial suggested that triaging men using mp-MRI might allow 27% of patients to avoid a primary biopsy and diagnose 5% fewer clinically insignificant cancers. There is evidence that performing bp-MRI may not compromise detection of clinically significant cancer, whilst also reducing costs and scanning time. The single arm Prostate Imaging Using MRI± Contrast Enhancement (PRIME) study showed bp-MRI was similar to mp-MRI [5]. However, there are limitations to these studies. The Imperial Prostate 7 - Prostate Assessment using Comparative Interventions - Fast MRI and Image-fusion for Cancer (IP7-PACIFIC) RCT will definitively test whether bp-MRI could replace mp-MRI [6].
References
1. Andriole GL, Crawford ED, Grubb RL, et al. PLCO Project Team. Mortality results from a randomized prostate-cancer screening trial. N Engl J Med 2009;360(13):1310-19.
2. Hugosson J, Roobol MJ, Månsson M, et al. ERSPC investigators. A 16-yr follow-up of the European Randomized study of Screening for Prostate Cancer. Eur Urol 2019;76(1):43-51.
3. Martin RM, Donovan JL, Turner EL, et al. Effect of a low-intensity psa-based screening intervention on prostate cancer mortality: the CAP randomized clinical trial. JAMA 2018;319(9):883-95.
4. Ahmed HU, Bosaily AE, Brown LC, et al. Diagnostic accuracy of multi-parametric MRI and TRUS biopsy in prostate cancer (PROMIS): a paired validating confirmatory study. The Lancet 2017;389(10071):815-22.
5. Asif A, Nathan A, Ng A, et al. Comparing biparametric to multiparametric MRI in the diagnosis of clinically significant prostate cancer in biopsy-naive men (PRIME): a prospective, international, multicentre, non-inferiority within-patient, diagnostic yield trial protocol. BMJ Open 2023;13(4):e070280.
6. Imperial Prostate. Imperial Prostate 7 - Prostate Assessment using Comparative Interventions - Fast mri and Image-fusion for Cancer.
https://www.isrctn.com/ISRCTN11171089
[accessed 21 November 2024].
Acknowledgement: Graph reproduced from: Ahmed HU, Bosaily AE, Brown LC, et al. Diagnostic accuracy of multi-parametric MRI and TRUS biopsy in prostate cancer (PROMIS): a paired validating confirmatory study. The Lancet 2017;389(10071):815-22.© 2017 The Author(s). Published by Elsevier Ltd.
